Fall 2025

Published on November 1, 2025 at 2:38 PM

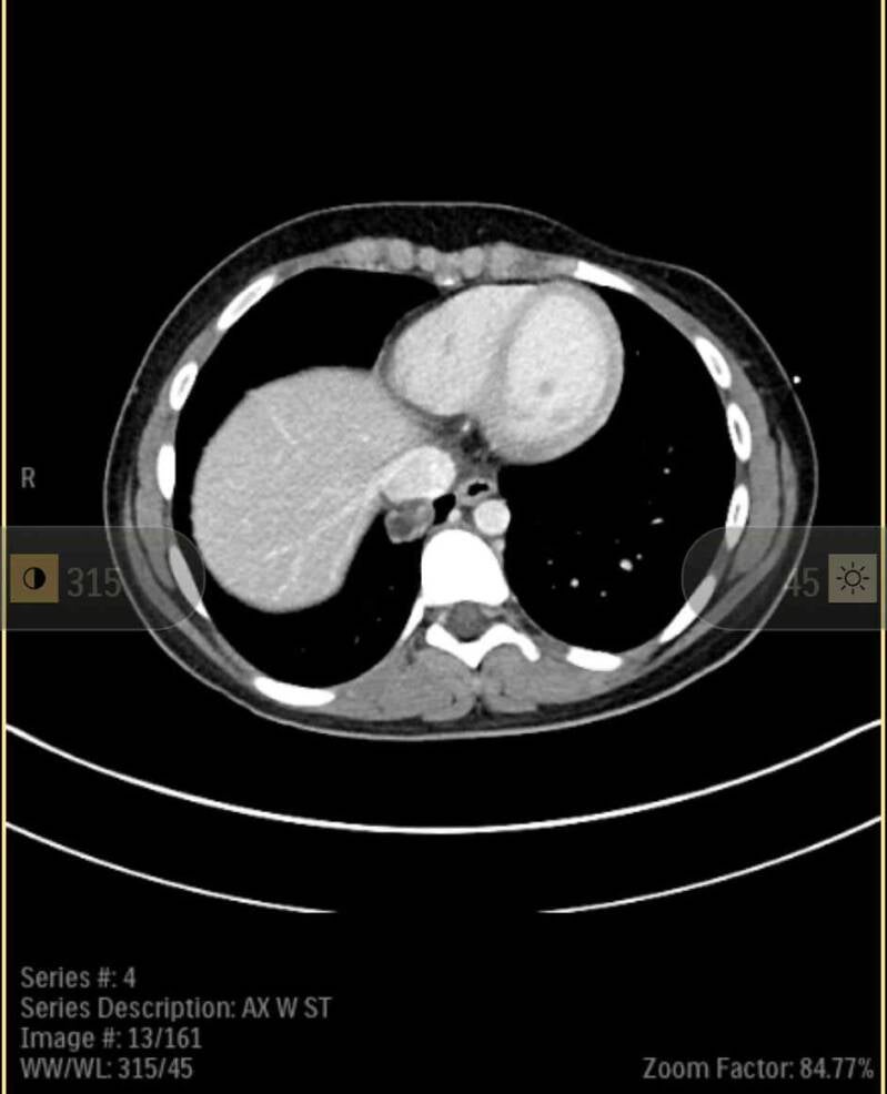
After a summer of unsuccessful medical interventions, aimed at reducing her uncontrollable nausea, Rose was hospitalized for pancreatitis. A CAT scan revealed a tumor in her lung and fluid around her pancreas. Subsequent testing revealed that the tumor was an agressive carcinoma. Rose spent an extended period of time in the hospital to help her recover from pancreatitis, and she is now on-track to begin cancer treatment. 

Rose is scheduled to begin methotrexate chemotherapy in early November, 2025. We are hopeful that the cancer will respond well to chemo and that Rose can go into remission. 

Because chemotherapy has multiple side effects, including hair loss and a compromised immune system, we have made the decision to pull Rose from school until she is medically stable. Rose is devastated by the idea of being separated from her friends, but she has the unwavering support of her best friend Lily and her family. 

Rose has a fantastic medical team at UC Health Steamboat Springs as well as the Oncology department at the UC Health in Aurora, Colorado. We are so grateful for their expertise and we're confident that Rose is getting the best medical care available.